Mysteries In The Ear: Delving Into The Intricacies Of Fungal Ear Infections
In the symphony of health concerns, Fungal Ear Infections may be an understated melody, yet the impact on one's auditory well-being cannot be dismissed. These clandestine invaders, often...
Types, Causes, Symptoms, and Preventative Measures of Fungal Ear Infections
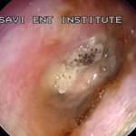
What is a Fungal Ear Infection? A Fungal Ear Infection occurs in the outer part of the ear and is called Otomycosis. It can also be referred to as Fungal Otitis Externa. Otitis means ear...
Unveiling The Intricacies Of Fungal Ear Infection: A Comprehensive Exploration
In the realm of ear health, Fungal Ear Infections stand as a distinctive challenge, often demanding a nuanced understanding for effective management. This article delves into the depths of...
Ear Infections: Navigating The Acoustic Ailments
In the intricate symphony of human anatomy, the ears play a crucial role, allowing us to perceive the world through sound. However, amidst this harmonious orchestration, discord may arise in the...
Uncovering Ear Fungi: Understanding Otomycosis Causes, Cure, and Prevention
In the intricate landscape of ear health, one ailment that demands attention is Fungal Ear Infection, more commonly known as Otomycosis. This stealthy intruder targets the delicate ear canal,...
Causes Ear Infections In A Baby: Unveiling The Ailment's Culprits
Ear Infections In Babies Can Be A Distressing Ordeal, Causing Discomfort Not Only To The Infant But Also To Concerned Parents. These Ear Infections In A Baby Often Catch Parents Off Guard,...
Unraveling The Nexus: Black Fungus And The Vital Role Of Industrial Oxygen In Healthcare
In Recent Times, The Ominous Term "Black Fungus" Has Garnered Attention And Raised Serious Concerns Across The Globe. Black Fungus, Also Known As Mucormycosis, Has Emerged As A Grave...
Genetics and Ear Infections: Unraveling the Connection
When It Comes To Ear Infections, Understanding Their Multifaceted Origins Is Pivotal. These Ailments, Often Characterized By Pain, Discomfort, And Potential Hearing Loss, Can Result From A...
Ear Infections Uncovered: Symptoms and Solutions
Ear Infections Are A Common Yet Often Misunderstood Ailment That Can Affect Individuals Of All Ages. This Article Will Delve Into The Intricacies Of Ear Infections, Shedding Light On Their...
Fungal Ear Infection: Understanding The Intricacies Of Otomycosis
Fungal Ear Infection, Scientifically Known As Otomycosis, Is A Condition That Often Lurks In The Shadows Of Its Bacterial And Viral Counterparts, Yet It Merits Our Attention Due To Its Unique...
Fungal Ear Infection: A Stealthy Auricular Intrusion
The Insidious Intruders Of Auricular Tranquility The Human Ear, A Marvel Of Intricate Design And Function, Often Finds Itself Besieged By Various Maladies. Among These, The Fungal Ear Infection...
Otomycosis: The Fungal Intrigue Within Your Ear
The Intricate Mechanisms Of The Human Ear Are A Marvel To Behold, But When Invaded By Otomycosis, An Uncommon Fungal Infection, This Delicate System Can Be Thrown Into Disarray. Otomycosis,...